Patient Case Study: Dr. Vivek Gaur – Best Implantologist in Ghaziabad, has treated several patients who have experienced life-changing transformations through advanced dental implant care. Among these, one special inspiring case stands out – the full-mouth rehabilitation of a patient suffering from rickets. This case perfectly showcases the expertise of Dr. Vivek Gaur, his use of cutting-edge technology, and the compassionate care provided to the patient. Let us understand the case in detail:

Patient Case Study: Full Mouth Rehabilitation for a Patient Suffering from Rickets
1.Background
Rickets is a condition characterized by severe calcium insufficiency and low bone integrity, which poses substantial hurdles to dental rehabilitation. Patients with rickets frequently experience early tooth loss and skeletal malformations, which impair their ability to walk and stand normally. The Best Implantologist in Delhi NCR – Dr. Vivek Gaur, successfully handled one such patient. This case study looks at a ten-year follow-up on a patient with severe calcium shortage who had a complete mouth rehabilitation with Corticobasal® implantology while adhering to an immediate functional loading protocol.
Please contact us @ +91 9289678861 for more info

2.Initial Presentation
The patient, a 35-year-old male had serious dental issues as a result of his rickets diagnosis. The key symptoms were:

➔Severe calcium deficiency that affected his overall health
➔Poor bone quality that resulted in early tooth loss
➔Skeletal deformities that made walking and standing difficult

Because of the weakened bone structure, the patient’s condition made traditional dental implants difficult to use for rehabilitation.
3.Treatment Plan
Given the particular constraints, a treatment strategy was created using Corticobasal® implantology. This innovative approach enables quick functional loading, which is critical given the patient’s state. The main goals were:

➔Full Mouth Rehabilitation: Use modern immediate loading implants to replace the lost teeth and restore functionality.
âž”Improved Quality of Life: Increase the patient’s capacity to eat and speak as well as his general quality of life.
4.Implementation
The rehabilitation procedure was methodically planned and carried out in stages:

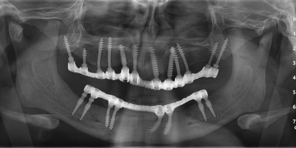
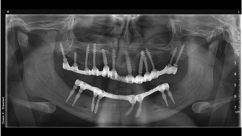
➔Pre-Surgical Assessment: A thorough examination of bone quality and general health. It involved blood testing, X-rays, and 3D imaging to map the jaw anatomy.
➔Surgical Phase: Corticobasal® implants are placed after an immediate functional loading protocol. These implants are made to anchor in the basal bone, which is unaffected by rickets-related problems withv Regardless of the bone quality.
➔Post-Surgical Care: The implants were continuously monitored and adjusted to ensure they functioned properly. The patient was given a specialized diet and supplements to help him recuperate and boost his calcium levels.
Results
During the 10-year follow-up, the patient showed impressive improvement:



★Implant Success: All implants remained stable, showing no evidence of rejection or failure.
★Functional Improvement: The patient regained the ability to chew and talk regularly, which considerably improved his quality of life.
★Skeletal Benefits: Improved oral health related to overall better posture and mobility, which helped in walking and standing.
Conclusion
This case study demonstrates Corticobasal® implantology’s revolutionary potential in treating individuals with severe calcium insufficiency and poor bone quality owing to rickets. Despite substantial hurdles, Dr. Vivek Gaur ensured a successful rehabilitation, leaving the Patient Case Study Transformative Dental Implant Care by Dr. Vivek Gaur with a solid and functioning dental structure that had lasted a decade.

When it comes to the latest and best dental implants in Delhi NCR, Dr. Vivek Gaur tops the list. With the aforementioned case study, he is clearly adept at handling all types of complex dental implantation challenges. Through compassionate care, cutting-edge equipment, and minimally invasive techniques, Dr. Vivek Gaur provides transformative dental implant solutions that restore smiles along with rebuilding confidence. Hence, if you need dental implants, the case study offers a glimpse into the outstanding care and exceptional results you can expect by choosing Dr. Vivek Gaur as your dental implantologist.
To know more about this revolutionary science, visit, www.drvivekgaur.com
Keep yourself updated by following our Social Page for the latest news and information.

